Tweet

Pediatrics

Happy Feet, Healthy Kids: Expert Pediatric Foot Care in Hollywood, CA

Hollywood Podiatry is the place where your child’s foot health is our priority. Our specialized pediatric podiatry services are designed to cater to the unique needs of children’s growing feet. With a focus on comprehensive care, we ensure that your child receives the best treatment and pediatric surgery Hollywood for any foot-related issues. Whether it’s a minor concern or a serious condition, our experienced team is here to provide expert care and support.

The Importance of Pediatric Foot Care

Empire foot and ankle are constantly growing and developing, making early attention to any concerns essential. When foot issues in children are overlooked, they can lead to long-term complications that affect mobility, posture, and overall well-being. Common pediatric concerns include flat feet, heel pain, ingrown toenails, and foot fractures. Addressing these conditions early through professional Pediatric Foot Care helps ensure children can run, play, and grow comfortably.

At Hollywood Podiatry, we understand the concerns parents have about their child’s foot health. Our compassionate team provides age-appropriate evaluations and treatment plans designed to support healthy development. If your child is experiencing discomfort or injury, consulting a trusted Doctor For Foot Pain allows problems to be identified early and managed effectively. Prompt care, including proper treatment for pediatric foot injuries, helps prevent future complications and keeps young feet strong and pain-free.

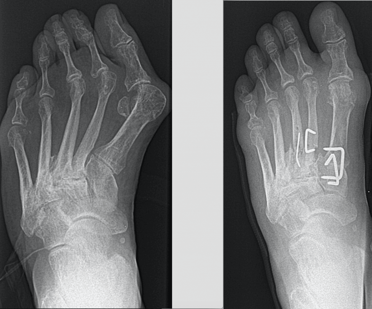
pt01hallux3 0

Benefits of Availing Our Services

Choosing Hollywood Podiatrist for your child’s foot health offers many important benefits. Our experienced pediatric podiatrists are committed to delivering personalized treatment tailored to each child’s unique needs. Using advanced diagnostic tools and modern treatment techniques, we focus on accurate evaluations and effective solutions that support healthy growth and mobility.

Our clinic is well known for its expertise in Pediatric Foot Care, treating a wide range of conditions from common childhood concerns to more complex foot and ankle issues. Parents can feel confident knowing their child is receiving attentive care grounded in medical experience and compassion.

We also provide advanced treatment options, including non-invasive therapies and surgical solutions when necessary, always prioritizing safety and comfort. Families seeking a trusted Doctor For Foot Pain appreciate our thoughtful approach and clear communication throughout the care process.

To ensure a positive experience, we maintain a welcoming, child-friendly environment that helps young patients feel relaxed and supported during every visit. In addition, we emphasize preventative care by educating families on proper footwear, daily foot hygiene, and habits that help reduce the risk of future problems.

Our Simple and Effective Process

At Hollywood Podiatry, we strive to make the treatment process as simple and stress-free as possible for both parents and children. The approach of pediatric doctor Hollywood is designed to be thorough yet straightforward, ensuring that your child receives the best care without unnecessary complications. Here’s how our process works:

  1. Initial Consultation: During the first visit, our pediatric podiatrist will conduct a comprehensive examination of your child’s feet. We take the time to understand their medical history and any concerns you may have.
  2. Accurate Diagnosis: Using advanced diagnostic tools, we accurately diagnose the issue. This may include physical exams, imaging tests, or other assessments as needed.
  3. Personalized Treatment Plan: Based on the diagnosis, we develop a customized treatment plan tailored to your child’s specific needs. This plan may include conservative treatments, physical therapy, or surgical options if necessary.
  4. Ongoing Care and Follow-Up: We provide continuous support and follow-up care to monitor your child’s progress and make any necessary adjustments to the treatment plan.
By choosing Hollywood Podiatry, you are ensuring your child receives top-quality care from trusted professionals. We are committed to helping your child achieve optimal foot health and a pain-free future.